Протезирование


Керамические коронки и мосты , виниры и накладки, бюгельные протезы...
Мы предлагаем широкий спектр возможностей для замены отсутствующих зубов, в том числе
удобные несъемные имплантаты, мосты и коронки, чтобы помочь пациентам улучшить их
внешний вид и почувствовать себя более уверенно.
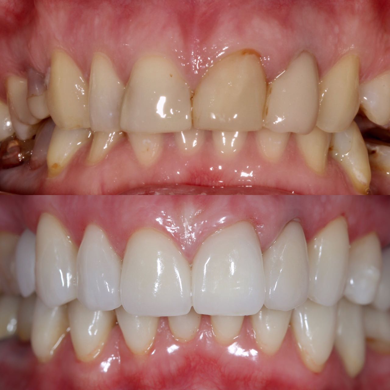
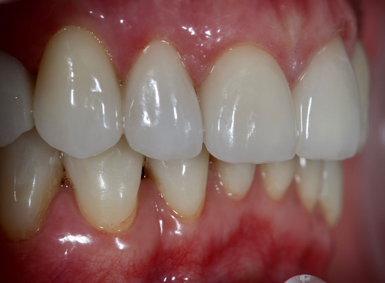
Коронки на зубы из циркония, металлокерамики, керамики.
Все керамические коронки, такие как EMAX press
Циркониевые коронки
Металлокерамика
Металлические (Золотые) коронки
Это типы материалов, используемых для изготовления коронок, но концепция и процесс с точки
зрения пациента одинаковы. Самым популярным материалом для зубных коронок в настоящее
время являются цирконий и Emax Press. Это материалы, обладающие прекрасной эстетикой и
долговечностью.
Причины восстановления зуба зубной коронкой:
1. Если была проведена обработка корневого канала, рекомендуется
восстановить зуб с Керамической коронкой. После эндо процедуры
корневого канала зуб становится хрупким и может не выдержать
жевательного давления. Поэтому предлагается быстрое
восстановление его коронкой.
2. Если зуб значительно сколот и керамическая реставрация может не
получить надлежащего удержания, чтобы обеспечить длительный
результат, стоматолог порекомендует разместить коронку на
отломанном зубе.
3. Если есть старая коронка, которую нужно заменить из-за перелома
или повреждении или по косметическим причинам, новая коронка
потребуется для замены старой.
Что такое зубной мост?
Мост представляет собой конструкцию, которая опирается на опорные зубы , а между ними
есть промежуточные зубы , земещающие отсутствующие. Эта конструкция имеет ряд минусов :
опорные зубы всегда несут дополнительную нагрузку за отсутствующие зубы. Т к опорные
зубы перегружены, они быстро приходят в негодность. Хорошей альтернативой стала
имплантация. Отсутствующие зубы замещаются имплантами, они и несут в будущем
жевательную нагрузку за отсутствующие зубы. Перегрузки нет и срок службы зубов более
долгий.
Что такое флекс?
Flex - еще один термин для гибкого нейлонового частичного протеза. Эти протезы изготовлены из очень легких, гибких материалов, что приводит к частичному протезу, который намного удобнее носить. Флекс ( нейлоновый протез) также не применяют металлические кламера для прикрепления, и они приходят
в разных базовых цветах, чтобы соответствовать вашей собственной ткани десны, поэтому они
невидимы при ношении. Кроме того, они не содержат металлов, и ни один из химических
мономеров, используемых в традиционных жестких пластиковых протезах.
Да, наша клиника предлагает временные протезы, которые можно сделать в тот же день, когда
ваши зубы будут удалены. Временные протезы можно сделать заранее до хирургических
вмешательств и поставить сразу после операции.
1) Стоматология в старых Химках : Ленинский проспект дом 1 корп 3 ( вход со двора ) 8-495-984-66-84
Часы работы : с 10 до 21 часа без обеда с понедельника по субботы ( воскресенье выходной).
2)Стоматология в Новокуркино г. Химки: Молодежный проезд дом 6
Тел. 8-498-72-000-33(44)
Часы работы: с 10 до 21 без обеда и выходных.
3)Стоматология в новых Химках : Юбилейный проспект дом 1 корп 3 8-495-510-13-64
Часы работы: с 10 до 21 без обеда и выходных.
