Детская стоматология
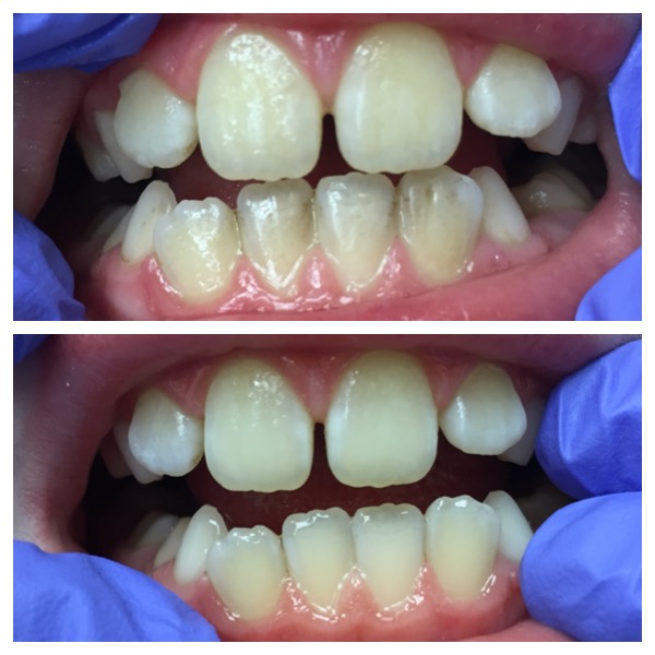
Профилактический детский стоматологический прием начинается с гигиены .
Уход за ротовой полостью у ребенка необходимо начинать еще до появления зубов. А профессиональную гигиену – после появления первых зубов. Ребенка нужно приводить на профилактический прием к детскому стоматологу каждые 4 месяца. За этот период детский врач сможет распознать небольшие изменения в структуре зубов и избавить ребенка от последствий запущенного кариеса ( пульпита). Важным методом профилактики кариеса является фторирование зубов. Проводится эта процедура врачом в стоматологическом кресле. На зубы наносится специальная фторирующая жидкость. Процедура безболезненна. Процедуру надо повторять дважды в год.


Кариес зуба.
Если гигиена зубов плохая, то результатом становится развитие кариеса. Бактерии, содержащиеся в зубном налете активно размножаться, образуя кислоту. Она вымывает фтор и кальций из эмали зубов. Эмаль становится мягкой, позволяя бактериям проникнуть глубже в зуб и разрушать его. Это и есть первая стадия — кариозное пятно. На этом этапе его еще можно остановить и вылечить даже без бормашины
На второй стадии бактерии повреждают дентин, тем самым образуя видимое разрушение зуба — возникает глубокий кариес.
- На поверхности зубов появляются белые или темные точки ;
- Зубы начинают ныть, реагировать на холодное и горячее, сладкое и кислое;
- Кариес является причиной неприятного запаха изо рта;
При первых признаках кариеса советуем не ждать и сразу обращаться к врачу.

Пульпит.
Как он проявляется? Пульсирующая зубная боль, в вечерние часы или ночью боль усиливается от холодного или теплого. Боль при сжимании челюстей, попадании пищи на зуб. У ребенка может появиться отек мягких тканей и увеличение лимфатических узлов.
В наших клиниках лечение пульпита детских зубов проводится по современным методикам, с использованием проверенных и надежных материалов, под контролем рентгена, результат всегда предсказуем и благоприятен.
Травмы и сколы постоянных зубов восстанавливаются либо композитными , либо керамическими материалами.

Профессиональная гигиена в сменном и постоянном прикусе 5000руб
Восстановление зуба пломбой 3500 руб.
Герметизация фиссур 2500 руб.
Лечение пульпита молочного зуба ( биологический метод) 5800 руб.
Витальная ампутация (метод лечения пульпита ZOE) 3000 руб.
Профилактика биоактивным кальцием 800 руб.
Покрытие фторосодержащим лаком (1 зуб) 200 руб.
Наша главная цель в детской стоматологии и ортодонтии в Химках, - сделать вашему ребенку лечение в максимально комфортных условиях, помогая ему понять, что поездка в детскую стоматологию является положительным аспектом для того, чтобы оставаться счастливым и здоровым! С дружелюбной атмосферой наши детские стоматологи, ортодонты и весь персонал помогут вашим детям чувствовать себя как дома каждый раз, когда они посещают нашу клинику в Химках!
Детская стоматология в старых Химках : Ленинский проспект дом 1 корп 3 ( вход со двора) 8-495-984-66-84
Детская стоматология в Новокуркино ( Химки) Молодежный проезд дом 6 8-498-720-00-33
