Протезирование молочных зубов
Со стороны родителей растет спрос на то, чтобы стоматологи предоставляли улучшенные эстетические решения при восстановлении зубов их детей, и существует все большее число вариантов такого лечения.



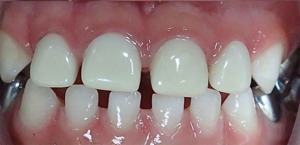
Эстетическое полное покрытие коронками первичных передних зубов применимо при большом поражении коронковой части молочного зуба.
Существуют готовые коронки для детей из стали, циркония и метала , покрытого керамикой.


Стоматология быстро развивается и сейчас стало возможным изготовление индивидуальных коронок по сканам обточенных зубов. Применяя интраоральный сканер в детской практике, возможно получить 3Д слепок зуба, быстро изготовить точную коронку и зафиксировать на обточенный зуб ребенка. Преимущество этого метода в точности внутренней поверхности коронки.
Индивидуальная коронка не требует подгонки и припасовки к зубу.
