#виниры #керамические зубы#коронки на зубы#циркониевые коронки

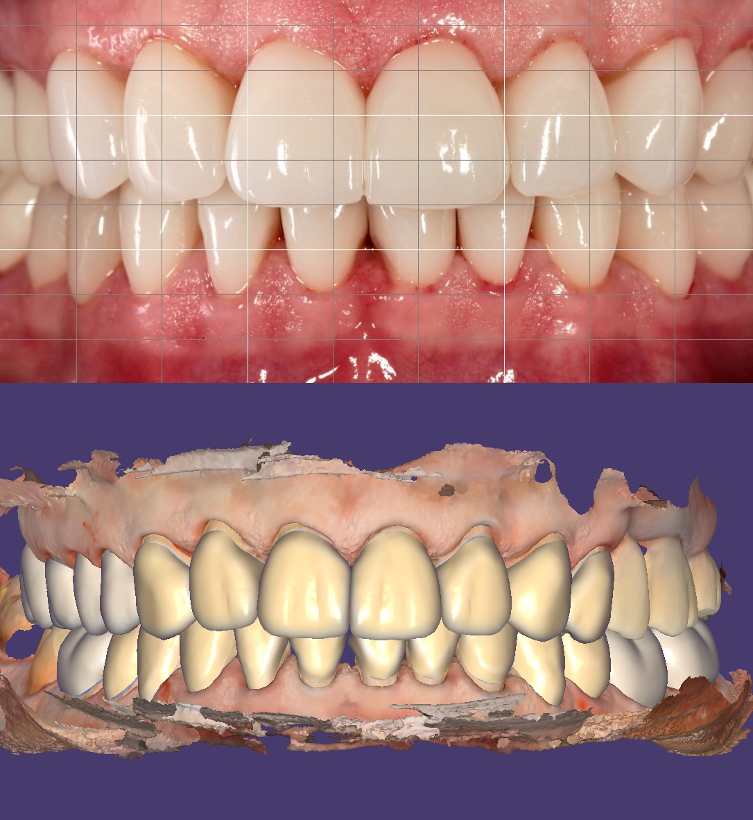
На верхней челюсти изготовлены коронки и виниры из керамического материала EMAX. Все в цифре. С обточенных зубов отсняты цифровые слепки, моделирована работа в программе ЭКЗОКАД , отфрезерована из готовых блоков.
Отглазурована старинным аналоговым методом.



Виниры их EMAX, коронки из циркония
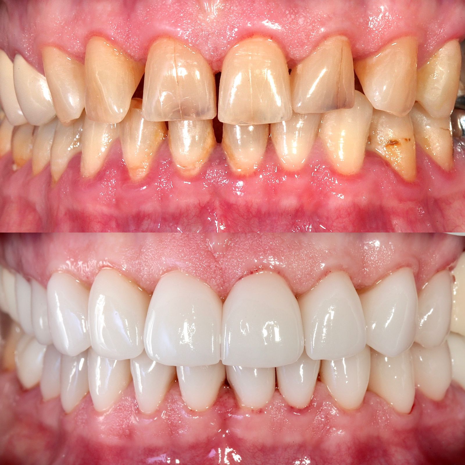
Снова тотальная работа. Виниры на фронтальных зубах, коронки на жевательные зубы из керамики EMAX и из циркона в полный объем.





Цифровой слепок и силиконовый слепок
Преимущества цифрового сканирования
Пациенты могут получить множество преимуществ от этого процесса, в том числе:
- Меньше времени затрачивается на получение слепков
- Улучшенное качество изображений для высокоточных работ.
- Устраняет необходимость в неудобных и неприятных слепочных материалах, которые могут вызывать рвотные позывы.
- Обеспечивает больший комфорт и меньше беспокойства для пациентов
- Снижает вероятность ошибок и материальных неточностей, т к плохо отснятые области видны сразу на экране. Можно сразу переснять эту зону.
- Хранение оттисков: в цифровом виде позволяет хранить их в течение длительного времени, экономя места и обеспечивая эффективный учет.
- Поддерживает безбумажную среду и устраняет необходимость в одноразовых слепках, материалах и пластиковых ложках, что делает его экологически безопасным.
При цифровом сканировании/оттиске сканер делает цифровой оттиск полости рта и на экране компьютера сразу виден результат, наглядно, перед глазами пациента. В результате пациенты лучше понимают весь процесс. Для диалога врач- пациент - это очень удобный инструмент. В нашей практике этот инструмент используется в течении года, мы очень довольны.
Сохранитель места, ортодонтическое кольцо
Сохранитель места это ортодонтическая конструкция, она применяются в детской практике. Выполняют роль «фиксатора» или «держателя пространства». Их используют если молочный зуб ребёнка был удален при разрушении коронки зуба намного раньше времени и на его месте образовалась пустота. При помощи такого кольца с распоркой исключают смещение молочных единиц в сторону дефекта, а заодно – и нарушения прикуса в будущем.

Циркониевые коронки на имплантах
Установлены импланты в жевательном отделе.
Жевательные зубы запротезированы коронками из циркония в полный объем . Фронтальные зубы покрыты керамическими коронками из материала EMAX
Импланты по шаблону, немедленная нагрузка
Верхняя челюсть удаление зубов, имплантация по шаблону, временные коронки ( немедленная нагрузка).
Имея современные инструменты, стало возможно заранее рассчитать положение имплантантов и изготовление временных коронок на импантанты с установкой их сразу после операции.



Виниры, циркониевые коронки
Еще одна работа, сделанная полностью в цифре. Сняты цифровые слепки с обточенных зубов, смоделирована работа в ЭКЗОКАД. Выточена на CAD CAM . Но глазурована ВРУЧНУЮ!!!


цифровая стоматология CAD CAM
Выточены цельнокерамические конструкции из блоков EMAX , раскрашены и отглазурованы. Работа сделана без донанесения керамики. Применены полностью цифровые методы изотовления коронок. Обточенные зубы отсканированы внутриоральным сканером. Коронки отмоделированы в программе Экзокад в полный обьем и вытачены на CAD CAM.





