цифровая стоматология CAD CAM
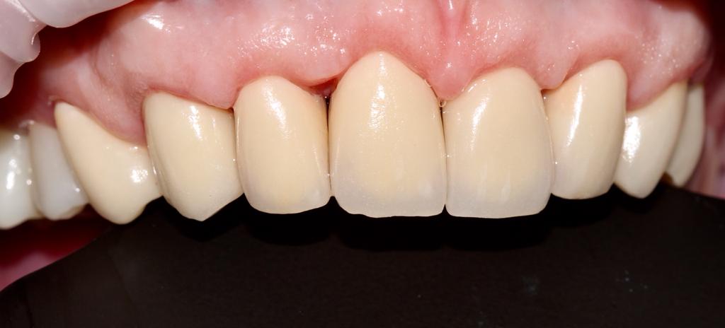
Выточены цельнокерамические конструкции из блоков EMAX , раскрашены и отглазурованы. Работа сделана без донанесения керамики. Применены полностью цифровые методы изотовления коронок. Обточенные зубы отсканированы внутриоральным сканером. Коронки отмоделированы в программе Экзокад в полный обьем и вытачены на CAD CAM.



Виниры в помощь при эрозии зубов
Эрозия - это стирание поверхности зуба кислотой, растворяющей эмаль и дентин. Существует множество способов потери структуры зуба.
Эрозия зубов из -за пищевых продуктов была впервые описана в 1892 году среди сицилийских сборщиков лимонов. Еда и напитки могут растворять структуру зуба, если они достаточно кислые. Желудочная регургитация - еще один источник кислоты, которая растворяет зубы. Воздействие веществ окружающей среды в воздухе также может быть источником эрозионного химического вещества. Хотя редко, но у некоторых людей слюна достаточно кислая, чтобы растворить обнаженную поверхность дентина, и когда невозможно найти источник, это называется идиопатической эрозией.


Цифровой протокол лечения
Наш коллектив идет в ногу с техническим прогрессом. Теперь возможно спланировать и увидеть конечную ортопедическую и ортодонтическую работу заранее, на первом этапе диагностики. С помощью цифрового интраорального сканера или технического сканера получаем цифровую модель, моделируем предстоящую работу в программе.
Возможна предварительная расстановка имплантов в программе и изготовление хирургического шаблона для операции. Установка временных коронок. Затем, замена на постоянную конструкцию.
На фрезерном станке изготавливаются коронки и мосты.
Для этого у нас есть все свое оборудование и навыки.
Цифровая стоматология
У нас новый помощник - фрезерный станок для выпиливания коронок и мостов.

Имплантация, протезирование, виниры фрезерованные CAD CAM



Nobel Conical в области зубов 16,17,25,27,36,37,46,47 .
Протезирование выполнено с помощью цифровых инструментов. На фронтальные зубы нижней и верхней челюсти отфрезерованы виниры из полевошпатной керамики VITA .
Верхние жевательные коронки и мост сделаны из многоцветного циркония в полный объем на мультиюнитах.
Нижние жевательные коронки изготовлены из цельного циркония многоцветного, установлены на индивидуальные циркониевые абатменты.


Отмоделированные виниры


Временные коронки


Цельноциркониевые коронки на мультиюнитах
Коронки из оксида циркония
При изготовлении циркониевых коронок применяли цифровой метод изготовления. В программе ЭКЗОКАД ( EXOCAD) смоделирована работа на верхней челюсти, на фронтальных зубах сделана редукция.



Нанесена керамическая масса .



виниры блич ( bleach)
На зубы верхней челюсти изготовлены виниры EMAX методом прессования с донанесением керамической массы.



Короночка диоксид циркония на 21 зуб
Вот интересная короночка на центральный резец. Каркас из диоксида циркония. Облицована керамической массой.



Элайнеры
Хотите исправить положение зубов , но не хотите носить брекеты? Элайнеры - это отличный вариант для пациентов, которые хотят исправить ортодонтические проблемы, такие как скученность, промежутки и дефекты прикуса. Это капы , которые имеют ряд преимуществ перед брекетами: лучше гигиена, нет металла , в отличие от традиционных скоб с креплениями и кронштейнами. Система имеет потрясающие результаты. Использование передовых технологии дает возможность увидеть конечный результат лечения сразу при диагностики. 3Д планирование в программе наглядно демонстрирует все этапы лечения и передвижение зубов в динамики. Выглядит это так:

Как это работает?
При первом посещении мы сделаем снимки, фотографии и рентгенографию вашего рта, и они будут переданы в ортодонтическую лабораторию вместе с описанием от врача, который обсудит движение зубов и план лечения. Затем каждые две недели вы будете возвращаться за новой капой, которую необходимо менять. В среднем лечение составляет около одного года или менее.

цены на лечение :
лечение не более 5 элайнеров 50000 рублей
не более 10 элайнеров 75000 рублей
не более 20элайнеров 130000 рублей
не более 30 элайнеров 150000 рублей
Этап 3 Д планирования лечения составляет 16000рублей
Записаться на прием вы можете по телефону
8-495-984-66-84
Виниры как у звезды

Фарфоровые виниры по индивидуальному заказу,сделанные в нашей стоматологии, обеспечивает антивозрастную стоматологию, сочетает в себе искусство и науку, чтобы придать вам удивительный вид!
Многие из наших пациентов приезжают с других районов Москвы, все потому что у нас есть большой опыт в этой области и благодарные рекомендации от обладателей наших работ. Виниры могут быть сделаны для одного переднего отдела зубов- четырех передних зубов, виниров линии улыбки - обычно составляют десять виниров или виниры на полный рот. Стоимость варьируется в зависимости от выбранного материала и сложности исполнения. Большинство виниров, которые мы установили, прослужили пациентам более 15 лет и продолжают удивительно выглядеть и функционировать. Цена на виниры составляет от 25000 до 40000 долларов за зуб, в зависимости от того, какой винир.

